Foi hoje publicado o Decreto Regulamentar n.º 6/2016, que coloca em prática as alterações à lei da procriação médica assistida publicadas na lei 17/2016, de 20 de junho.

O que mudou?

A grande alteração é a da garantia de acesso a todas as mulheres a técnicas de PMA. Ou seja, na redação do decreto: 'casais de mulheres e a mulheres independentemente de um diagnóstico de infertilidade, do estado civil e da orientação sexual' podem beneficiar de técnicas de procriação medicamente assistida, como inseminação artificial, em centros de PMA públicos e privados.

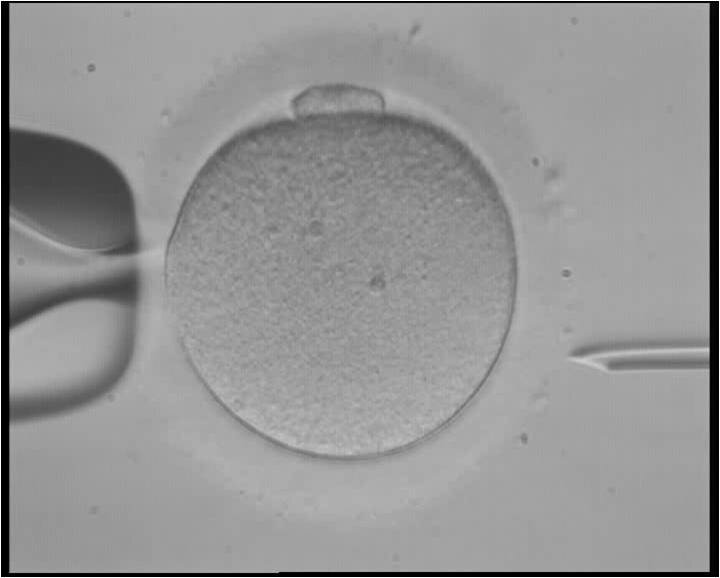
In vitro fertilization
Procriação medicamente assistida

Como ser referenciada à consulta de PMA?

A orientação para os hospitais públicos será feita como habitualmente, pelo médico de família ou a partir de outra consulta hospitalar. A diferença é que passarão a ser aceites não só casais mas também mulheres sem parceiro ou com parceiro feminino.

Que técnicas de PMA podem ser realizadas?

O acesso às técnicas é o mesmo que até agora estava reservado a casais com infertilidade, bem como as listas de espera. O documento reitera, logicamente, que na ausência de infertilidade, deva ser privilegiada a inseminação artificial.

Então está tudo pronto para que se comece a aplicar a lei 17/2016?

Existe ainda o problema dos dadores de esperma, assunto que já era problemático previamente, nos centros públicos. A procura de esperma de dador aumentará, o que terá de significar alterações no funcionamento dos centros públicos. O problema é que há atualmente poucos dadores no banco público.

O aumento da procura de tratamentos de PMA

Este aumento prevê-se, com uma possível afluência inicial dos pedidos de consulta de mulheres que tenham essa decisão já tomada. Tendo em conta que os tratamentos não poderão sofrer discriminação em termos de lista de espera, é de prever que as listas de espera se possam avolumar, pelo menos inicialmente.