Os pais querem sempre que os seus filhos sejam os maiores, mas fortes, mais inteligentes… Menos na gravidez. Sempre que se afastam da média ficam preocupados, especialmente se o crescimento/peso fetal, for baixo. O problema é que, por definição, metade dos bebés está abaixo da média, pelo que a angústia é frequente e poucas vezes fundamentada.

As curvas nacionais

Recentemente, eu e os meus coautores publicamos curvas de crescimento fetal para o nosso país (ver aqui). É a maior amostra colhida no nosso país e a única validada desta forma. A importância está em podermos comparar (quando necessário) um peso fetal estimado ou ao nascer com uma população de referência compatível e credível. Existem centenas de referências deste tipo no mundo inteiro, que diferem substancialmente entre elas, e, sobretudo, dos dados nacionais.

Curvas de percentis de peso fetal
Percentis peso fetal/ao nascimento para ambos os sexos

Para que servem?

Na avaliação do crescimento fetal, durante a gravidez, e ao nascimento, um dado é frequentemente calculado/colhido: o peso. Este peso é comparado com aquilo que se espera para a idade gestacional (semanas de gravidez), de forma a podermos perceber se é adequado. Mas antes de podermos tirar qualquer conclusão, vários aspetos devem ser tidos em consideração.

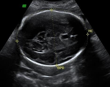
Estimativa de peso por Ecografia

No caso da estimativa de peso por ecografia, trata-se de um peso estimado com base em parâmetros ecográficos, habitualmente o perímetro cefálico, diâmetro biparietal (largura da cabeça), perímetro abdominal e comprimento do fémur. Estes parâmetros são usados em uma de dezenas de fórmulas publicadas (mais frequentemente uma de um autor chamado Hadlock) e o resultado é um valor estimado de peso. Este resultado é naturalmente falível, e o erro associado pode ser verificado nos artigos escritos pelo próprio Hadlock: Cerca de 68% dos fetos cairão dentro da estimativa +- 7,5% (1 erro padrão). Cerca de 95% dos fetos cairão dentro da estimativa +- 15% (2 erros padrão).

Perímetro cefálico em ecografia
Perímetro cefálico (HC) e diâmetro biparietal (BPD) fetais em ecografia abdominal

Como exemplo podemos considerar que, 68% das vezes, um recém nascido a quem foi estimado recentemente um peso de 3000g tenha entre 2750g e 3250g ao nascer. Esta diferença poderá chegar aos 450g em 27% adicionais e ultrapassar este valor em 5% dos fetos. Esta é a forma como funciona a fórmula, pelo que não é passível de melhoria, mesmo com muita experiência do ecografista.

Curva normal de erro de estimativa
Exemplo de uma estimativa ecográfica do peso fetal de 3000g e representação do erro potencialmente associado

O meu bebé tem uma doença por ser leve/pequeno?

Os seres humanos tem o crescimento fetal governado por vários fatores: sexo (rapazes são maiores); herança genética e raça; tamanho (e peso) da mãe; doenças da mãe; paridade (número de filhos anteriores); alimentação; álcool e tabaco durante a gravidez (tabaco diminui o peso ao nascer em cerca de 5%); altitude; etc. Mesmo colhendo todos estes dados, é impossível prever o peso da criança. O que é possível é prever um âmbito (intervalo) onde é estatisticamente provável que se encontre esse peso.

Feitio ou defeito?

Todos os bebés têm um potencial de crescimento: um peso que, sem limitações externas, ambientais ou de doença, irão atingir. A dificuldade está em perceber que potencial é este para cada criança, algo que nos ilude enquanto médicos. Porque se trata de perceber que fetos/bebés estão mais pequenos do que deveriam estar, e, por isso mesmo, não se diagnostica só por um valor de peso. Um feto no percentil 1 pode ser perfeitamente saudável, e outro no percentil 50 ter um problema porque deveria manter crescimento no percentil 80. Fala-se em atraso do crescimento intra uterino, restrição do crescimento intra uterino ou restrição do crescimento fetal (RCF) quando o potencial de crescimento, segundo a interpretação do médico, não foi atingido.

O que é o percentil

O percentil tem um significado puramente estatístico. O percentil 50, por exemplo, corresponde à mediana, que é o valor que está 'no meio'. Se dizemos que um feto está no percentil 20 do peso, constatamos que a posição numa amostra de fetos com a mesma idade gestacional o colocaria acima de cerca de 20% dos fetos e abaixo dos cerca de 80% restantes. Portanto, este é apenas um valor estatístico para interpretar e ponderar, não algo com interpretação patológica direta.

Como interpretar o percentil de crescimento/peso fetal

Em muitos casos usa-se o percentil 10 para classificar fetos e bebés como leve para a idade gestacional. Pela descrição acima percebemos que isto significa que se decidiu, arbitrariamente, classificar 10% dos bebés como leves. É também um grupo onde a probabilidade de patologia relacionada com o crescimento aumenta, pelo que faz sentido preocupar-mo-nos mais com esse grupo. No entanto, é importante sublinhar que a maioria (mais de 70%) dos bebés nesse grupo não têm nenhum tipo de problema. São, simplesmente… mais leves do que a maioria.

Dentro das dificuldades já abordadas, um valor arbitrário deste tipo identifica um subconjunto de fetos que pode ser vantajoso avaliar com mais cuidado. O contexto clínico é de suma importância. Se, em avaliações ao longo do tempo, o percentil desce significativamente ('cruzar' percentis) é também necessária maior atenção.

A vantagem das curvas nacionais

A vantagem das curvas nacionais é que o valor que escolhemos é realmente o que encontraremos. Isto é, dado que foram construídas com dados de bebés portugueses, se escolhermos o percentil 5 iremos encontrar sensivelmente 5% dos bebés de um hospital. Outras curvas apresentam valores por vezes muito diferentes, pelo que, em vez de 5% poderemos estar a identificar 2% dos bebés, ou 10%. As curvas nacionais é isso que providenciam.

Para saber mais

Pode consultar o website do artigo: fetalgrowth.med.up.pt. Aqui pode fazer o download das curvas em .pdf: curvas para a população Portuguesa (não esquecer que a interpretação deve ser feita por médicos).